Você já ouviu falar sobre mini implante? Devido ao avanço tecnológico, a ortodontia traz cada vez mais novas formas de realizar tratamentos, para proporcionar aos pacientes mais comodidade e facilidade no processo de corrigir disfunções na dentição.
O que é um mini implante?
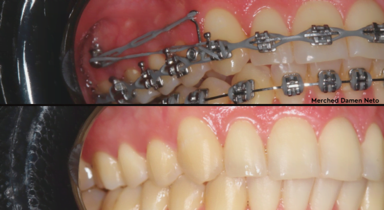
O mini implante ortodôntico, também conhecido como Dispositivo de Ancoragem Temporário, é uma estrutura feita de liga de titânio, com um tamanho em média de 6 a 12mm de comprimento e variam de 1,2 a 2,0mm de diâmetro. 
Parecido com um micro parafuso e por ser tão pequeno, torna esse dispositivo praticamente imperceptível.
Para que serve?
Enquanto os outros tipos de implantes servem para substituir uma perda dentária, esse mini implante vai apenas ajudar e complementar, proporcionando maior eficácia e rapidez num tratamento ortodôntico com aparelho tradicional.
Ou seja, é um acessório que auxilia em procedimentos ortodônticos, permitindo a movimentação de dentes específicos e impede que os outros dentes também se movam de maneira indesejada enquanto o paciente está usando o aparelho fixo.
Esse procedimento, também irá diminuir o tempo do tratamento do paciente, uma vez que não será necessário tomar atitudes para reverter essas movimentações indesejadas que teria num tratamento somente com algum aparelho ortodôntico, por exemplo.
Como são colocados os mini implantes?
A técnica para inseri-los é super simples e minimamente invasiva. Pode ser utilizado apenas anestésico tópico ou anestesia local. É feita uma pequena incisão e então é inserido diretamente no osso, geralmente estre as raízes dos dentes que se quer movimentar, podendo ser tanto na mandíbula quanto no maxilar. Por ser uma incisão pequena, a recuperação é rápida e indolor.


